Scaphoid Fractures

Open surgery for scaphoid fractures
If the fracture of the scaphoid is through the waist and the bone has tilted forward, or if the fracture is through the proximal (forearm end) part of the scaphoid,...
Open surgery for scaphoid fractures
If the fracture of the scaphoid is through the waist and the bone has tilted forward, or if the fracture is through the proximal (forearm end) part of the scaphoid,...

Percutaneous surgery for scaphoid fractures
For fractures of the waist of the scaphoid where the bone has not shown progression towards healing, a percutaneous operation can be done. For this operation a guide-wire is passed...
Percutaneous surgery for scaphoid fractures
For fractures of the waist of the scaphoid where the bone has not shown progression towards healing, a percutaneous operation can be done. For this operation a guide-wire is passed...

How are scaphoid fractures treated?
Fractures of the scaphoid can be treated with splints, casts or surgery. For fractures at the thumb end of the scaphoid when the pain is not too bad, it might...
How are scaphoid fractures treated?
Fractures of the scaphoid can be treated with splints, casts or surgery. For fractures at the thumb end of the scaphoid when the pain is not too bad, it might...

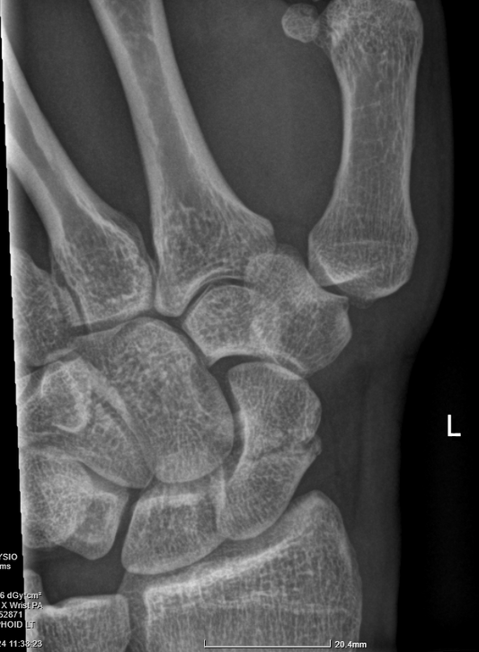
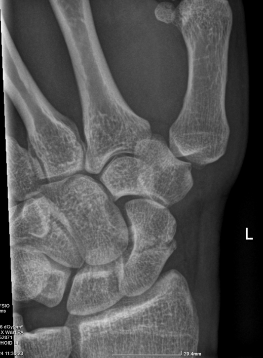
How are scaphoid fractures diagnosed?
Scaphoid fractures are diagnosed based on clinical examination findings, and imaging. It is usually tender to push over the anatomic snuffbox on the thumb side of the back of the...
How are scaphoid fractures diagnosed?
Scaphoid fractures are diagnosed based on clinical examination findings, and imaging. It is usually tender to push over the anatomic snuffbox on the thumb side of the back of the...

What are scaphoid fractures?
The scaphoid bone is a small bone on the thumb side of the wrist. It is commonly injured during sporting activities such as football, rugby, hockey, skiing, cycling and motorsport....
What are scaphoid fractures?
The scaphoid bone is a small bone on the thumb side of the wrist. It is commonly injured during sporting activities such as football, rugby, hockey, skiing, cycling and motorsport....